接骨(整骨)や鍼灸・脊椎矯正で安心・納得のできる治療院と言えば京都伏見の宮越接骨院 |
サイトマップ |

| ★接骨治療 | ||||||||||||||||||
| 骨折は手術より早期完治! | ||||||||||||||||||
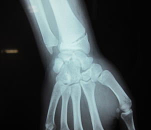
骨が折れる・ひびが入る(腫れがひどく内出血を伴う 関節が外れる(顎・肩・小児の肘等) くじる・捻って受傷する。靭帯・筋肉を痛める 打ち身・物にあたる・ぶつける 肉離れ・筋肉損傷 当院では超音波観察装置を導入しています。 ◎骨・筋・神経・腱の損傷・血腫を観る事ができます。 ◎放射線では無いので、被爆の心配することなく、 人体に無害で、高血圧・妊婦の方にも安心・安全に何度でも観察することができます。 ![]() ![]() |
||||||||||||||||||
![]() |
||||||||||||||||||
![]()
|






















